elearning platform » ? » MIRC imports »  Haemophilie A. · 

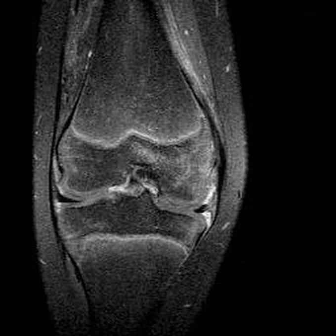
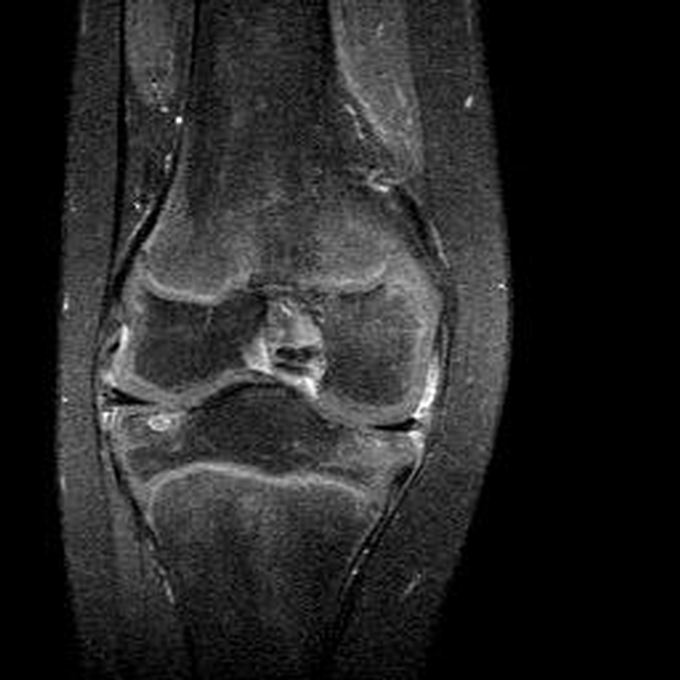
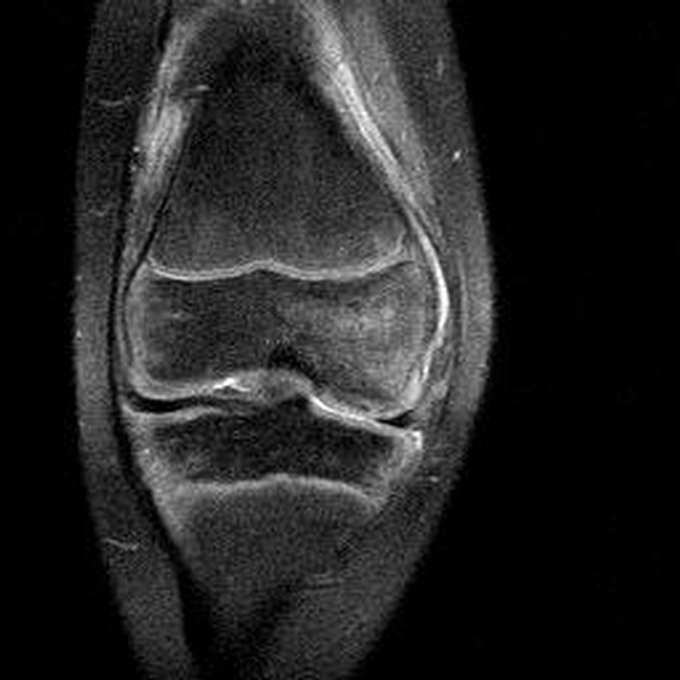
Haemophiliearthropathie bei Haemophilie A.

Autor: Marc Harth , Institut für Diagnostische und Interventionelle Radiologie Uniklinik Frankfurt
Lizenz: Attribution: http://creativecommons.org/licenses/by/2.0/

Arthropathia ARC123 Haemophiliearthropathie bei Haemophilie A.


MRT (high)


MRT (high)


MRT (high)


MRT (high)


MRT (high)


MRT (high)


MRT (high)


MRT (high)


MRT (high)



 
Top