elearning platform » Course Material » Radiology »  Elearning modules · 

Interactive online module for dealing with complexicity

Autor: Marc Harth ,  2005/07/01

Learning Online: Analysing, Exploration and Evaluation in one pour!

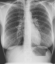
Arteria lusoria

Vessel Variant: Arteria subclavia dextra coming out of aortic arch
Presented by: Marc Harth

Short Info: Right subclavian artery arises from the aortic arch
and runs cranially posterior to the oesophagus causing
narrowing of the oesophagus (dysphagia).
Skill Level: Difficult
Aim: Interpretation of cross-section anatomy of vascular
anamolies in the mediastinum
Keywords: Dysphagia, Arteria lusoria

Further Materials:

Oesophagus wird von dorsalkomprimiertZoom (91KB)

SCORM DATA

Skeleton of the pelvis

Skeleton of the pelvis after double head-prosthesis of the hip joint
Presented by: Marc Harth

Short Info: X-ray of the pelvis. Hip prosthesis on right side, Indian model of a dual head prosthesis. Analysis of the anatomical structures from
x-ray.
Skill Level: simple
Aim: Anatomy of the pelvis in x-ray of pelvis.
Keywords: Pelvic skeleton, double-head prosthesis.

Further Materials:

Analysis of anatomy of pelvic bone.
Status post dual head prosthesis of the right hip joint.
This indian model of hip prosthesis is seldom seen in Europe.
Hueft TEP, indisches ModellZoom (167KB)

SCORM DATA

Sarkoidosis in chest x-ray and CT

Sarkoidosis chest x-ray and CT
Presented by: Marc Harth

Short Info: Sarkoidosis with enlarged hilar lymph nodes bilaterally.
Skill Level: simple
Aim: Anatomy of the thorax chest x-ray and CT
Keywords: Thorax, bihilar lymphadenopathy, pulmonary nodules, sarkoidosis.

Further Materials:

Analysis of the anatomy of the mediastinum.
Hilar lymph nodes bilateral and subpleural lung nodules.
Bihilaere LymphadenopathieZoom (192KB)

SCORM DATA

Arteriovenous malformation in chest X-Ray and in CT

Arteriovenous malformation in chest X-Ray and in CT
Presented by: Marc Harth

Short Info: Arteriovenous malformation.

Skill Level: difficult

Aim: Anatomy of the chest in chest X-Ray and in CT.

Subtile pathological changes in chest X-Ray.
Keywords: Chest, Arteriovenous malformation

Further Materials:

Analysis of chest X-Ray.
Detailed information in CT examination.
Flaue subpleurale Verschattung im linken OberlappenZoom (175KB)

SCORM DATA

Intracerebral calcification

Intracerebral calcification
Presented by: Marc Harth

Short Info: Skill Level: Simple
Aim: Anatomy of the head in CT
Localisation of pathologically calcified intracerebral struktures.
Keywords: Intracerebral calcifications, Fahr's disease, HPT, CO poisoning.

Further Materials:

Intracerebral anatomy in CT images.
Topographic anatomical localisation of intracerebral calcifications.
Zoom (140KB)

SCORM DATA

Dysgenetic renal cysts, type II

Dysgenetic renal cysts, type II according to Osathanondh und Potter
Presented by: Marc Harth

Short Info: Skill Level: high
Aim: Anatomy of the retroperitoneum in MRI.
Lokalisation of pathologies in different views (3D).
Keywords: Polycystic renal disease, Wilms-Tumor, Neuroblastoma, cystic nephroma.

Further Materials:

Retroperitoneal anatomy in MRI.
Topographic anatomical localisation of cystic kidneys.
Zoom (80KB)

SCORM DATA

System Requirements
1. Firefox 2.0+ or
2. Adobe SVG-Plugin for Internet Explorer
3. UTF-8 Font More ...


 
Top