home » CME » Lungenkarzinom »  Kurs 6: Lunge · 

Kurs 6: Lunge

Autor: Jungblut S, Wagner T, Harth M, Jacobi V

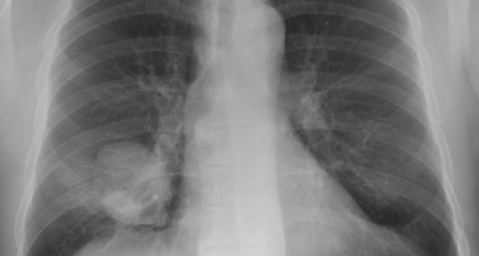
Unklarer Rundherd der Lunge und rezidivierendes Fieber. Diagnose, Komplikationen, Therapie und Verlauf.


Kursbeschreibung

Lernziel Anamnese, Klinik, logische Schritte zur Diagnose, Bildanalyse, Therapie.
Erforderliche Zeit 20 Minuten für 16 Fragen.
Autoren und Helfer Jungblut S, Wagner T, Harth M, Jacobi V
Kurs ID (VNR) 6
Version 1
Für wen ist dieser Kurs? Internisten, Pneumologen, Radiologen
Sprache deutsch
Kursdauer 25 Minuten
Was dieser Kurs von Ihnen verlangt Ein intrapulmonaler Rundherd soll diagnostisch abgeklärt werden.
Rezidivierendes Fieber erschwert die Therapie. Der behandelnde Arzt entscheidet, welche diagnostischen und therapeutischen Schritte zur treffenden Diagnose und erfolgsversprechenden Therapie führen.
Studienzeit 25 Minuten


 
Seitenanfang