home » CME » Lungenkarzinom »  Kurs 4: Lunge · 

Kurs 4: Lunge

Autor: Gleiber W, Wagner T, Harth M, Jacobi V

Atopische Dermatitis und Husten: Anamnese, weiterführende Diagnostik und Therapie


Kursbeschreibung

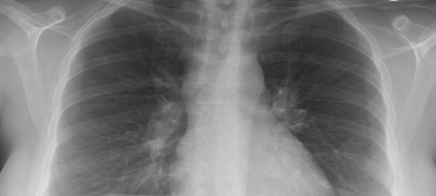
Lernziel Anamnese, Klinik, logische Schritte zur Diagnose, Bildanalyse, Therapie.
Erforderliche Zeit 15 Minuten für 9 Fragen.
Autoren und Helfer Gleiber W, Wagner T, Harth M, Jacobi V
Kurs ID (VNR) 4
Version 1
Für wen ist dieser Kurs? Internisten, Pneumologen, Radiologen
Sprache deutsch
Kursdauer 20 Minuten
Was dieser Kurs von Ihnen verlangt Der Husten führt zur diagnostischen Abklärung der Lunge. Diagnostisch öffnen sich damit neue Fenster. Der behandelnde Arzt entscheidet, welche Schritte zur eindeutigen Diagnose führen.
Studienzeit 20 Minuten


 
Seitenanfang