Abklärung eines chronischen Hustens:
Anamnese, Diagnostik und Therapie einer überraschenden Diagnose.
Kursbeschreibung
Lernziel
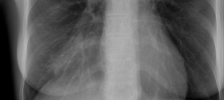
Anamnese, Klinik, logische Schritte zur Diagnose, Bildanalyse, Therapie.
Erforderliche Zeit
15 Minuten für 11 Fragen.
Autoren und Helfer
Lais C, Wagner T, Harth M, Jacobi V
Kurs ID (VNR)
2
Version
1
Für wen ist dieser Kurs?
Internisten, Pneumologen, Radiologen
Sprache
deutsch
Kursdauer
20 Minuten
Was dieser Kurs von Ihnen verlangt
Geschult werden soll das logische Vorgehen des behandelnden Arztes,
der mit der Klinik des Patienten entscheidet, welche bildgebende und invasive Diagnostik und welche Therapien eingesetzt werden sollen.