home » COX2 »  COXDB · 

Terms: » Organ-Systeme

Series: 01022001
1. Series: 01022001
Was prädisponiert diesen Patienten für entzündliche Lungenkrankheiten?
Series: 07022001
2. Series: 07022001
Series: 09012001
3. Series: 09012001
63 jaehrige Frau nach Sturz auf die rechte Huefte. Fraktur?
Series: 09022001
4. Series: 09022001
Einjaehriges Kind mit sonografischer polyzystischer Niere li.
ohne Harnstauungsniere.
Wilms-Tumor? Neuroblastom? Zystisches Nephrom?
Series: 1
5. Series: 1
test123
Series: 20050502230812
6. Series: 20050502230812
Series: 20050503103649
7. Series: 20050503103649
Testbild für ROI
Series: 20051126140839
8. Series: 20051126140839
Series: 20070526102628
9. Series: 20070526102628
Series: 20080119203737
10. Series: 20080119203737
Series: 20100908133334
11. Series: 20100908133334
Series: 26022001
12. Series: 26022001
Series: 31012001
13. Series: 31012001
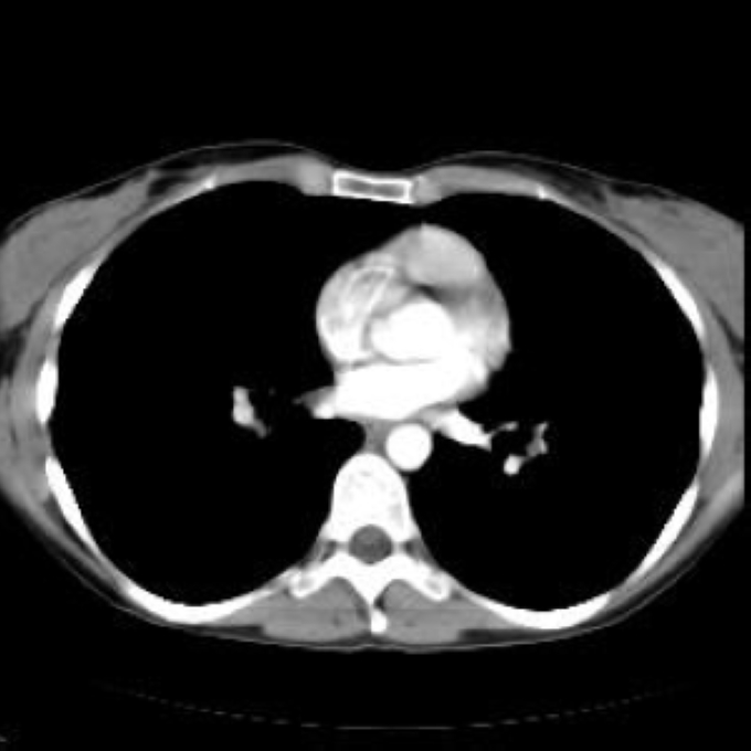
56 jaehrige Patientin mit Schluckbeschwerden.
Im konventionellen Roentgen-Thorax auffaellige Weichteilformation
im oberen Mediastinum beschrieben.
Was ist diese Raumforderung im oberen Mediastinum?




 
Seitenanfang