Series: 31012001

Author:
Dr. Harth
Institut f. Radiologie der Univ. Frankfurt
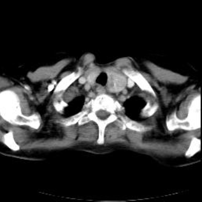
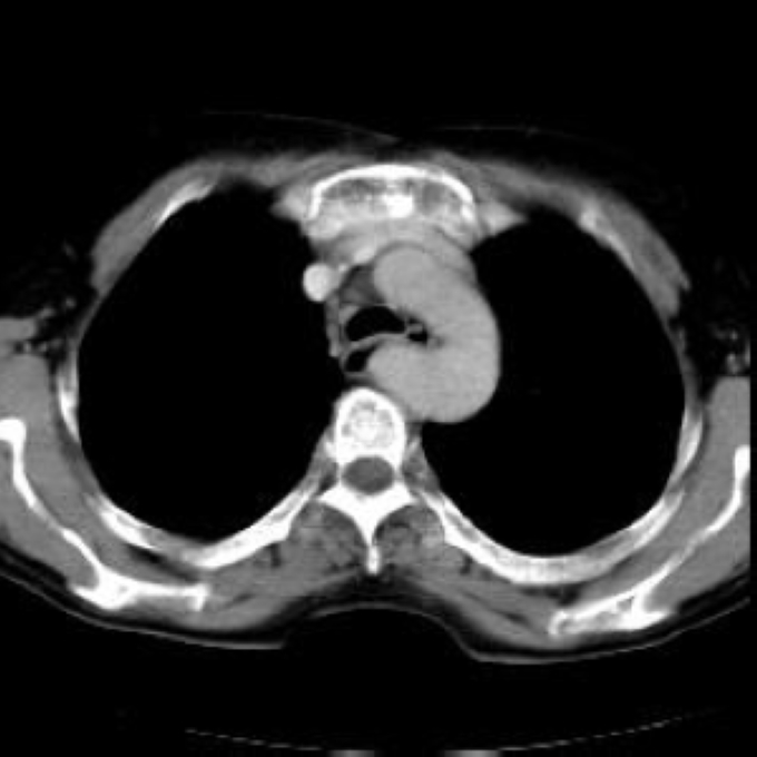
Diagnosis:
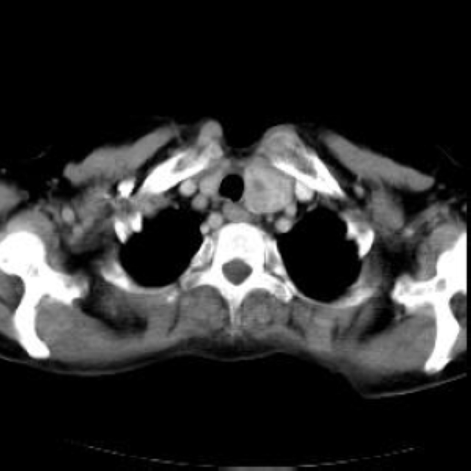
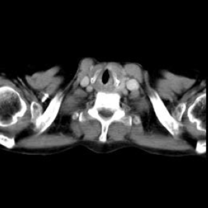
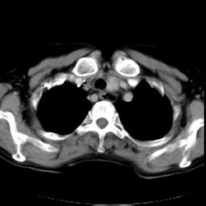
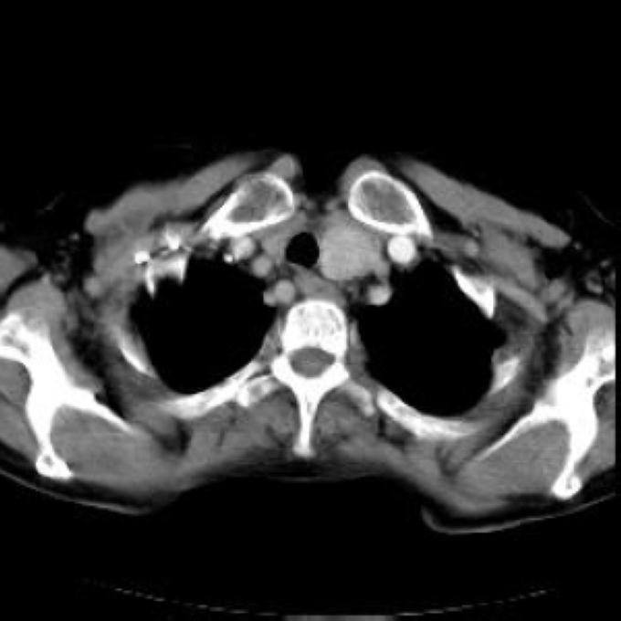
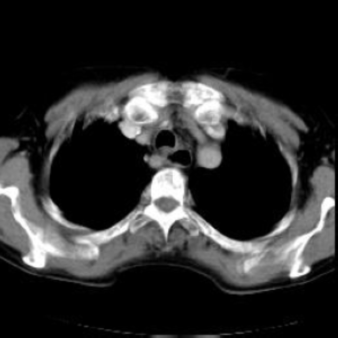
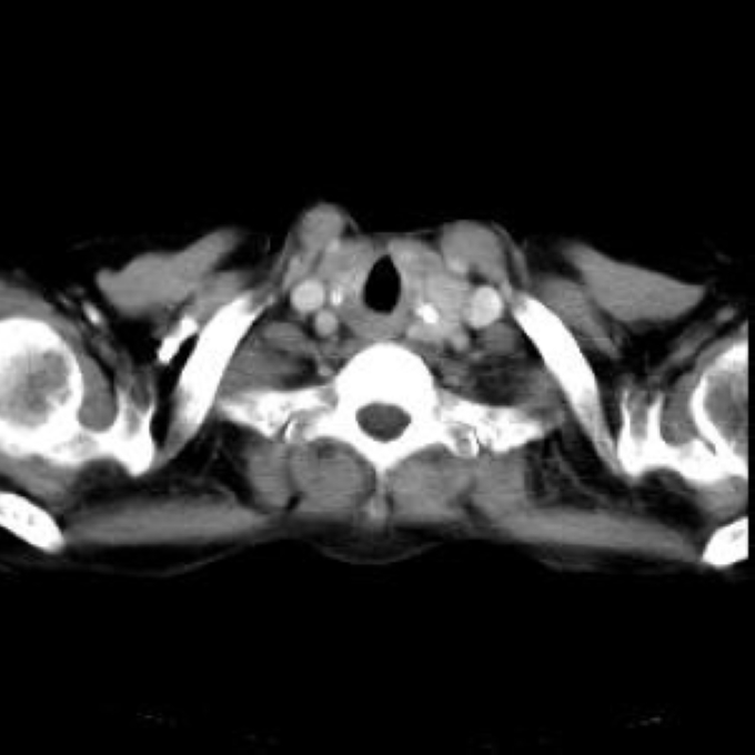
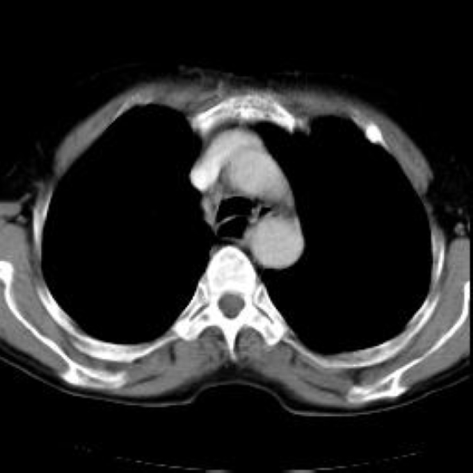
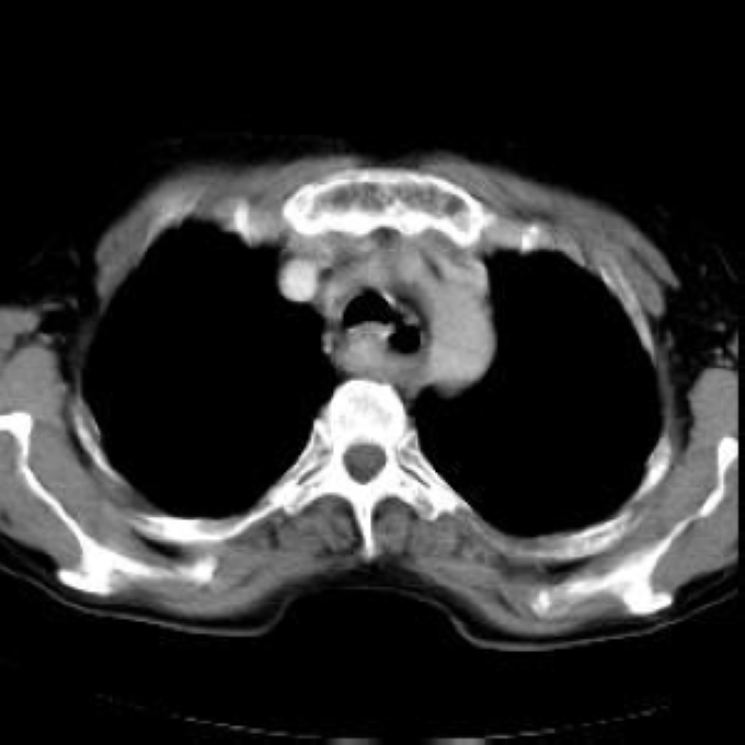
Arteria lusoria.

31012001_0001.jpg
1. 31012001_0001
56 year old patient with dyspagia. A tumor of soft tissue was described in upper mediastinum on plain X-ray of the thorax. What is this mass in the upper mediastinum?
31012001_0030.jpg
2. 31012001_0030
31012001_0031.jpg
3. 31012001_0031
31012001_0032.jpg
4. 31012001_0032
31012001_0033.jpg
5. 31012001_0033
31012001_0034.jpg
6. 31012001_0034
31012001_0035.jpg
7. 31012001_0035
31012001_0036.jpg
8. 31012001_0036
31012001_0037.jpg
9. 31012001_0037
31012001_0038.jpg
10. 31012001_0038
31012001_0039.jpg
11. 31012001_0039




 
Top