Terms: ยป Organ Systems

Series: 01022001
1. Series: 01022001
Series: 07022001
2. Series: 07022001
Series: 09012001
3. Series: 09012001
Series: 09022001
4. Series: 09022001
Series: 1
5. Series: 1
Series: 20050502230812
6. Series: 20050502230812
Series: 20050503103649
7. Series: 20050503103649
Series: 20051126140839
8. Series: 20051126140839
20051126140839_0010
Series: 20070526102628
9. Series: 20070526102628
Series: 20080119203737
10. Series: 20080119203737
Series: 20100908133334
11. Series: 20100908133334
Series: 26022001
12. Series: 26022001
Series: 31012001
13. Series: 31012001
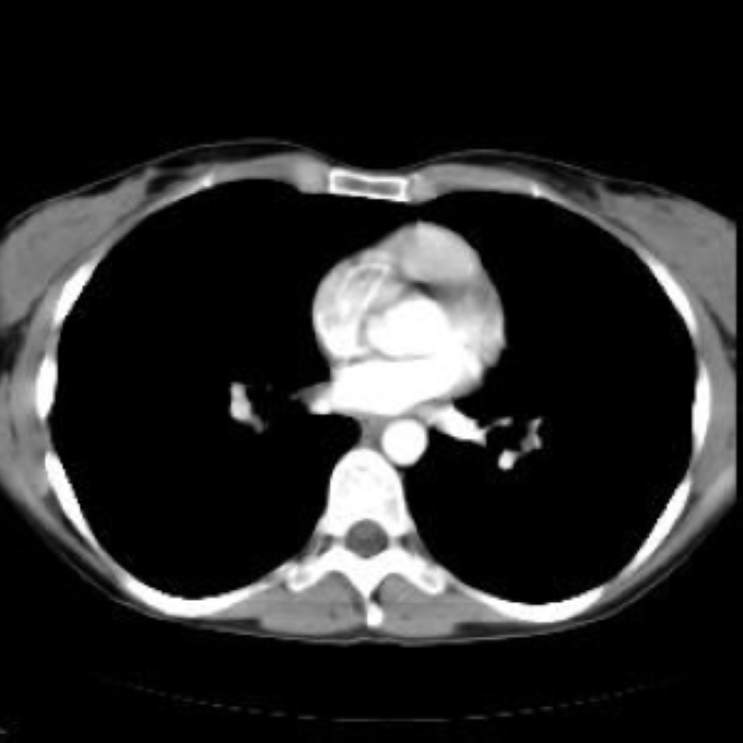
56 year old patient with dyspagia. A tumor of soft tissue was described in upper mediastinum on plain X-ray of the thorax. What is this mass in the upper mediastinum?




 
Top